전에 유튜브 영상으로 시술의 지속성에 대해 설명드리며 영구와 반영구 색소의 차이를 말씀드렸는데, 좀 더 자세하게 설명드리겠습니다.
반영구(semi-permanent)라는 말은 맞지 않는 말입니다. 저희도 과거 반영구라는 단어를 사용하였으나 이는 국내에서 일반적으로 반영구 화장, 반영구 시술이라 불리는 시술과 그 시술에 사용하는 색소를 알기 쉽게 설명드리기 위해 사용한 것입니다.
미국 SPCP(Social of Permanent Cosmetics Professionals) 단체의 입장문에 따르면 흔히 반영구화장이라고 불리는 시술행위는 영구화장(permanent cosmetics/ permanent makeup), 미용문신(cosmetic tattoo)으로 표현되어야 하며, 반영구 화장이라고 하여서 일반 화장처럼 시술 이후에 마음대로 화장을 지우듯이 원래 피부 상태로 돌아갈 수 있을 것으로 착각하게 하는 것은 옳지 않다고 주장합니다. [1]
색소가 정확하게 표피층에만 투여된다면 각질화 과정을 거치며 4-6주 사이에 전부 제거되어야 하지만, 실제로 반영구 시술을 받게 되면 그보다 훨씬 오랜 시간 색이 유지됨을 알 수 있습니다. 사실 이는 반영구 시술 시 정확하게 표피층에 국한되지 않고 진피층에도 색소가 도달하기 때문이며, 그 색소는 영구적으로 남는다고 보아야 맞습니다. [2]

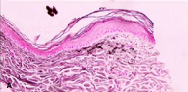
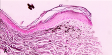
그러나 시간이 지나며 점차 흐려지게 되고 이후 리터치를 받지 않으면 처음의 형태와 색을 거의 잃어버린 상태가 되는데, 만약 리터치를 받지 않고 10년이 흘렀다고 가정했을 때에도 시술 부위 조직검사를 진행하면 아래 사진과 같이 진피층에 투여된 색소의 입자들이 미세하게나마 여전히 남아있음을 확인할 수 있습니다. [2]

색소를 제거하기 위해 레이저 시술 등의 특별한 조치를 취하지 않는 한 이 색소는 영구적으로 남아있게 되며, 색소 입자 크기 및 성분에 따라 시술 깊이와 투여하는 색소의 양에 따라 선명도가 떨어지는 속도가 차이가 나는 것 뿐 입니다. (피부 표면에 색소를 발라 일시적으로 표피를 염색하는 헤나와는 다릅니다.)
최근 미국에서 ink box나 ephemeral tattoo ink 같은 새로운 색소 회사가 등장하며1-2주 만에 사라지거나, 1년 동안 서서히 지워지는 색소를 홍보하고 있는데 이는 기존의 반영구 시술과는 그 개념이 조금 다릅니다. 흥미롭지만 역시 다소 과장된 부분이 있어서 여기에 대해서는 나중에 한번 더 자세히 다루겠습니다.
결론을 정리해 드리자면, 반영구적으로 남아 완전히 사라지는 색소는 없으며 시술 과정에서 진피에 도달한 색소는 영구적입니다. 그러나 입자 크기 및 성분 등의 색소별 차이, 그리고 시술 과정에서의 도달 깊이 및 양에 따라 색의 진한 정도와 형태의 유지기간에 차이가 있을 수 있습니다. 완전히 지우기 위한 레이저 시술은 색소를 투여하는 시술에 비해 통증이 훨씬 심하고 오랜 시간이 걸리며 결과를 장담하기 어렵기 때문에 모든 시술은 그 지속성을 고려하여 신중하게 받아야 합니다.
참고자료:
[1] www.spcp.org/thinking-of-getting-a-cosmetic-tattoo/semi-permanent-makeup/
[2] Im et al. Delayed granulomatous reaction after eyebrow tattooing. Korean J Dematol 2018;56:211-214
-뉴헤어 대머리블로그L-

'SMP(두피문신)' 카테고리의 다른 글
| 정수리, 가르마, 흉터 두피문신(SMP) 전후 사진 모음 (0) | 2022.01.04 |
|---|---|
| 검은색 타투(문신)가 푸르게 보이는 이유는 (0) | 2021.07.16 |
| 두피문신(SMP), 병원 시술과 타투샵 시술, 차이가 있을까? (0) | 2021.06.18 |
| 두피 흉터, 무바늘 레이저 두피문신(SMP)+ 바늘 문신 병합법 (0) | 2021.06.10 |
| SMP(두피문신)에서 색소 주입 깊이 조절이 중요한 이유 (0) | 2021.05.18 |